nội dung
Từ một nốt mụn mưng mủ, cậu sinh viên phải đối mặt với nhiễm khuẩn huyết và lá phổi bị “ăn” tới hơn 10 ổ rỗng.
Với người trẻ, chuyện nổi vài nốt mụn khi căng thẳng hay mất ngủ gần như quá quen thuộc. Nhiều bạn thậm chí còn coi việc “thấy là nặn” như phản xạ tự nhiên.
Thế nhưng mới đây, câu chuyện một nam sinh 20 tuổi ở Trung Quốc phải vào Khoa Hồi sức tích cực (ICU) sau khi nặn một nốt mụn tưởng như vô hại đã khiến mạng xã hội xôn xao. Từ một nốt mụn mưng mủ, cậu sinh viên phải đối mặt với nhiễm khuẩn huyết và lá phổi bị “ăn” tới hơn 10 ổ rỗng.
Nhiều người thốt lên: “Giờ mới biết trước giờ mình may mắn đến mức nào!”.
Nhân vật chính là Tiểu Lâm, sinh viên năm 2. Thời gian ôn thi căng thẳng khiến cậu mất ngủ nhiều đêm. Một buổi sáng, Lâm soi gương thấy trên mặt xuất hiện nốt mụn đỏ cỡ hạt đậu. “Vừa đỏ vừa sưng, nhìn ngứa mắt quá nên em bóp luôn”, cậu kể lại.
Lâm nặn mụn khi chưa rửa tay, mủ trào ra khiến cậu nghĩ rằng mình đã “xử lý xong”.
Nhưng vài ngày sau, nốt mụn vẫn viêm, mặt càng đau. Đi kèm là sốt, ho, đờm nhiều, uống thuốc hạ sốt chỉ giảm được lúc đầu rồi lại sốt trở lại. Đến ngày thứ ba, cơn đau ngực dưới bên phải khiến cậu thở sâu cũng khó khăn.
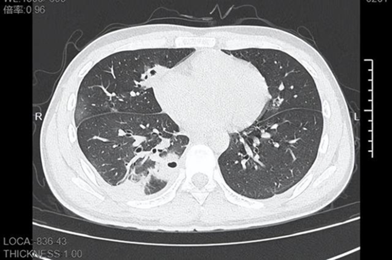
Khi tới bệnh viện, thân nhiệt Lâm đã chạm 39 độ C. CT ngực cho thấy bên trong phổi xuất hiện hơn 10 hốc rỗng , một số vùng mô phổi đã hoại tử, biểu hiện điển hình của áp-xe phổi do vi khuẩn từ đường máu .
Xét nghiệm cho thấy thủ phạm là tụ cầu vàng (Staphylococcus aureus), loại vi khuẩn sống ngay trên bề mặt da của hầu hết mọi người.
Bác sĩ cho biết: “Chính nốt mụn đó là điểm xuất phát. Nó nằm ở khu vực tam giác nguy hiểm vùng mặt. Khi bị nặn mạnh, vi khuẩn theo máu đi thẳng vào tuần hoàn, gây nhiễm khuẩn huyết rồi tấn công phổi”.
May mắn là bệnh nhân còn trẻ, đáp ứng điều trị tốt. Sau 12 ngày truyền kháng sinh, Lâm đã được xuất viện.
Vì sao nặn mụn lại có thể gây nhiễm trùng nặng?
Khu vực từ sống mũi đến hai khoé miệng được gọi là “tam giác chết” . Đây là vùng đặc biệt vì các tĩnh mạch không có van ngăn dòng chảy ngược . Nghĩa là khi tạo áp lực mạnh (như nặn mụn), vi khuẩn rất dễ bị đẩy vào máu.
Nặn mụn trong vùng này đồng thời gây ra hai rủi ro:
– Da đang viêm sẵn : nặn sẽ phá vỡ lớp bảo vệ, khiến dịch mủ chứa vi khuẩn tràn vào mao mạch.
– Áp lực nặn quá mạnh : vi khuẩn bị ép vào lòng mạch, rồi theo máu đi khắp cơ thể.
Tùy đường lan truyền, vi khuẩn có thể:
– Lên não gây viêm màng não, áp-xe não.
– Vào phổi gây áp-xe như trường hợp của Lâm.
– Lan đến gan, tim hoặc gây sốc nhiễm khuẩn nguy hiểm tính mạng.
Ngay cả khi điều trị khỏi, mô phổi bị tổn thương nặng có thể để lại sẹo xơ, làm giảm chức năng hô hấp về lâu dài.
Tầm xa hồng ngoại 10m với công nghệ hống ngoại thông
minh.
Chống ngược sáng HDR
- Hỗ trợ đàm thoại 2 chiều
- Hỗ trợ các tính năng thông minh: phát hiện chuyển động,
phát hiện con người, phát hiện âm thanh bất thường, chế
độ riêng tu, Smart tracking.
Tích hợp còi báo động
- Hỗ trợ chức năng Soft-AP, kết nối trực tiếp wifi camera
không cần thông qua modem nhà mạng.
Tích hợp Wi-Fi(IEEE802.11b/g/n), LAN, CLOUD (Imou
Protect), ONVIF
- Hỗ trơ khe cắm thẻ nhớ Micro SD max 256GB
- Nguổn cấp: DC 5V1A, điện năng tiêu thụ - Chất liệu vỏ:
Plastic.
Đạt chứng nhận CE, FCC
Xuất xứ: Trung Quốc
⁃ Bảo hành: 24 tháng.
Trọn bộ sản phẩm bao gồm:
-1 x Camera
- 1 x Hướng dẫn Bắt đầu Nhanh
-1x Bộ đổi nguồn
-1x Cáp nguồn
-1x Bọt gắn
Hàng chính hãng imou bảo hành 2 năm toàn quốc
Camera imou A32EP 3MP
Khi nào nốt mụn trở thành dấu hiệu nguy hiểm?
Bác sĩ khuyến cáo không nên nặn mụn, đặc biệt trong “tam giác nguy hiểm”. Làn da có khả năng tự phục hồi, nhưng việc can thiệp mạnh tay thường khiến vùng viêm nặng hơn hoặc nhiễm trùng lan rộng.
Một số lưu ý:
– Không sờ tay lên mặt : tay chứa rất nhiều vi khuẩn.
– Tránh dùng sản phẩm quá cay nóng, quá mạnh vì dễ làm tổn thương hàng rào da.
Nếu xuất hiện các biểu hiện như đau tăng nhanh; vùng đỏ lan rộng; sốt, mệt, rét run; đau ngực, ho, khó thở phải đến bệnh viện ngay , tránh biến chứng nặng.
Nguồn và ảnh: Sina
Theo
thanhnienviet.vn
Copy link
Lấy link
Nguồn Trang : https://soha.vn/chang-trai-20-tuoi-bi-thung-hon-10-lo-o-phoi-sau-khi-nan-mun-198251123212321687.htm
Bài viết gợi ý
- Nhiều nhóm cứu thương 0 đồng ở Lâm Đồng dừng hoạt động, Sở Y tế lên tiếng
Ngay sau công văn của Sở Y tế Lâm Đồng, nhiều nhóm thương thiện nguyện đã tạm dừng hoạt động. if (...
- Trang Fanpage Facebook là gì? Cách tạo và thiết lập Fanpage chuyên nghiệp
- Những điểm nổi bật nào khiến Xiaomi 15T đáng mua trong tầm giá 14 triệu đồng?
- Tôi trả giá khi lỡ lời nói 1 câu khiến con riêng của chồng bỏ nhà đi giữa đêm
- Bộ phim đang làm mưa làm gió phòng vé toàn cầu, vượt mặt cả bom tấn tỷ đô 'Avatar 2'
- Nhận định bóng đá hôm nay 24/11: MU vs Everton, Espanyol vs Sevilla
- Trong sân mà có 3 cây này thì giữ cho kỹ, chặt đi là mất lộc ngay
- Bộ phận của con lợn siêu giàu collagen, làm món gì cũng ngon, có tiền chưa chắc đã mua được
