Ngón tay đứt rời được bảo quản rất tốt
Nam bệnh nhân 38 tuổi là thủy thủ tàu viễn dương được chuyển tới Bệnh viện hữu nghị Việt Đức (Hà Nội) với ngón tay trỏ bàn tay phải đứt rời do tai nạn khi làm việc trên tàu, tại vùng biển miền Trung.

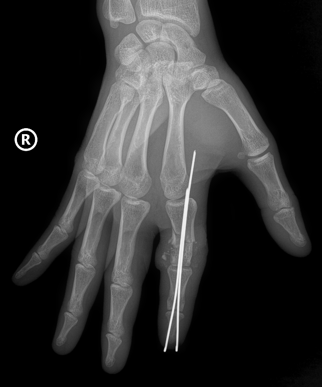
Hình ảnh X-quang phần ngón trỏ tay phải bị đứt rời của thủy thủ 38 tuổi được định vị và cố định bằng kim chuyên dụng
ẢNH: BÍCH NGỌC
Tiếp nhận bệnh nhân, các bác sĩ đánh giá, phần chi thể đứt rời đã được sơ cứu, bảo quản đúng cách, khớp ngón tay còn mềm, cấu trúc mô được bảo toàn tốt.
Kíp phẫu thuật cấp cứu ghép ngón tay được triển khai với sự phối hợp đa chuyên khoa: vi phẫu tạo hình, gây mê hồi sức, chấn thương chỉnh hình…
Hai kíp phẫu thuật được triển khai song song, một kíp làm sạch và chuẩn bị phần ngón đứt rời, kíp còn lại chuẩn bị phần mỏm cụt. Xương ngón được định vị và cố định bằng kim chuyên dụng để tạo trục vững, hệ thống gân và dây chằng được phục hồi.
“Đặc biệt, dây thần kinh và các mạch máu nhỏ chỉ khoảng 0,8 – 1 mm được phục hồi với độ chính xác cao dưới kính hiển vi phẫu thuật và dụng cụ đặc biệt, đảm bảo phục hồi lưu thông tưới máu cho phần đứt rời. Đây là kỹ thuật đòi hỏi sự tinh vi ở mức cao nhất, bởi chỉ cần một mối nối mạch máu không thông, dòng máu không thể nuôi được đầu ngón và phần chi sẽ hoại tử.
Trường hợp thiếu máu kỷ lục kéo dài 25 giờ đòi hỏi các bác sĩ kiểm soát nguy cơ co thắt mạch và giám sát tuần hoàn ngoại vi sau mổ để đảm bảo ngón tay được cứu sống, hồi sinh trọn vẹn”, tiến sĩ, bác sĩ Vũ Trung Trực, Phó trưởng khoa Phẫu thuật hàm mặt, tạo hình và thẩm mỹ (Bệnh viện hữu nghị Việt Đức), chia sẻ.
Theo bác sĩ Trực, trong những ca nối chi thể, thời gian thiếu máu kéo dài thường là rào cản rất lớn. Trường hợp này, nhờ bảo quản phần chi thể đứt rời đúng cách ngay từ hiện trường, khớp ngón tay không bị cứng nhờ được bảo quản ở nhiệt độ phù hợp.
Một yếu tố nữa, cấu trúc ngón tay (bao gồm: xương, da, dây thần kinh, mạch máu) có khả năng chịu thiếu máu tốt hơn so với phần chi thể có nhiều cơ nên phần ngón tay bị thiếu máu 25 giờ nhưng vẫn có thể được nối lại, với kinh nghiệm và sự phối hợp tốt giữa các chuyên khoa.
Hiện, 2 tuần sau phẫu thuật, vết thương sau ghép đã liền, ngón tay hồng, sống hoàn toàn. Các bác sĩ đang tập phục hồi chức năng để lấy lại khả năng vận động và cảm giác của ngón tay cho nam thủy thủ.
Sơ cứu khi không may bị đứt rời chi thể
Chi tiết
Địa chỉ tổ chức
chịu trách nhiệm
hàng hóa
Tên tổ chức chịu
trách nhiệm
hàng hóa
Khu vực xuất xứ
Thời hạn bảo
hành
Điện áp đầu vào
(V)
Công suất (W)
Loại bảo hành
Thương hiệu
750 KIM GIANG
HUNONIC HÀ NộI
Việt Nam
12 tháng
220v
14000
Bảo hành
Công Tơ Điện Hunonic Entec - Giải Pháp Tiết Kiệm Năng Lượng Thông Minh Điều Khiển
Không rửa, không ngâm chi thể đứt rời vào bất kỳ dung dịch nào. Trong trường hợp phần đứt rời trong môi trường bẩn nhiều dị vật, có thể rửa dưới vòi nước sạch, tốt hơn là nước uống tinh khiết hoặc nước đun sôi để nguội.
Bọc phần chi thể bằng gạc, khăn sạch, cho vào túi nylon và buộc kín (tránh tiếp xúc trực tiếp với đá lạnh).
Đặt túi đựng chi thể vào một túi khác có chứa đá lạnh.
Giữ phần chi thể trong môi trường sạch, ổn định nhiệt độ và vận chuyển nhanh nhất có thể. Không tự ý xử lý, không dùng thuốc, hóa chất sát trùng lên phần chi đứt rời.
Đưa người bị nạn đến cơ sở y tế gần nhất để được xử trí và hướng dẫn tiếp theo.
(Bệnh viện hữu nghị Việt Đức)
Bài viết gợi ý
- Các cụ nói: 5 thứ được cho, thân mấy cũng đừng nhận, lấy vào nhẹ thì Sinh Họa nặng thì Tổn Phúc
Trong dân gian, ông bà ta từ xưa đã luôn răn dạy: “Của cho không bằng cách cho”, và có những món dù quý mấy, thân mấy được tặng chúng ta cũng không nên nhận vì nó thực sự không hề tốt. Người xưa còn có câu: “5 thứ được cho, thân mấy cũng đừng nhận, lấy vào nhẹ thì sinh họa, nặng thì t...
- Đau đầu kéo dài một tuần, nam thanh niên 19 tuổi bất ngờ tắc gần hết tĩnh mạch não
- WHO xếp hạng 1 loại cảm xúc độc hại ngang hút 15 điếu thuốc mỗi ngày, KHÔNG PHẢI tức giận hay căng thẳng!
- Chi tiết chính sách bảo hành HONOR Ultimate Care cực xịn dành cho HONOR X9d 5G
- Bồ Đào Nha nêu 3 lý do để 'chạy án' cho Ronaldo
- Ekitike giỏi nhờ học hỏi các siêu sao
- 'Chúng ta phải chấp nhận, không thể lúc nào cũng 90-95% học sinh tốt, giỏi'
- Diễn viên Liên Bỉnh Phát phản hồi tin tình cảm với bạn diễn kém 8 tuổi

